The authors test electrocardiography biofeedback as a treatment for individuals with Postural Orthostatic Tachycardia Syndrome.
Read More...Investigating the impact of electrocardiography biofeedback on POTS symptom management
The authors test electrocardiography biofeedback as a treatment for individuals with Postural Orthostatic Tachycardia Syndrome.
Read More...Varying levels of disinfectant resistance among invasive Klebsiella pneumoniae isolates
The authors identify disinfectant-resistant bacterial strains of infection-causing bacteria from samples collected at a hospital setting.
Read More...A cost-effective IoT-based intelligent indoor air quality monitoring
Poor air quality is associated with negative effects on human health but can be difficult to measure in an accurate and cost-effective manner. The authors design and test a monitor for measuring indoor air quality using low-cost components.
Read More...Employee resignation study in Fairfax County
In this study, the authors address potential reasons why employees may voluntarily resign. This is in response to the currently observed economic trend The Great Resignation. Through analysis of federal and local government data along with survey results from Fairfax County, they concluded that adding additional benefits will help companies retain talented empolyees.
Read More...Role of bacterial flagella in bacterial adhesion of Escherichia coli to glass surface
In this study, the authors investigate the effects that flagella have on E. coli's ability to adhere to glass surfaces.
Read More...Predicting asthma-related emergency department visits and hospitalizations with machine learning techniques
Seeking to investigate the effects of ambient pollutants on human respiratory health, here the authors used machine learning to examine asthma in Lost Angeles County, an area with substantial pollution. By using machine learning models and classification techniques, the authors identified that nitrogen dioxide and ozone levels were significantly correlated with asthma hospitalizations. Based on an identified seasonal surge in asthma hospitalizations, the authors suggest future directions to improve machine learning modeling to investigate these relationships.
Read More...Characterizing the evolution of antibiotic resistance in commercial Lactobacillus strains
In this study, the authors studied the ability for bacteria to develop antibiotic resistance over successive generations and modeled the trajectory to predict how antibiotic resistance is developed.
Read More...Rover engineered to evaluate impacts of microclimatic parameters on pediatric asthma in Dallas schools
Pediatric asthma remains a significant health issue for Dallas students. This study examined the relationship between microclimatic parameters, vegetation, and pediatric asthma vulnerability (PAV) in urban schools.
Read More...The use of computer vision to differentiate valley fever from lung cancer via CT scans of nodules
Pulmonary diseases like lung cancer and valley fever pose serious health challenges, making accurate and rapid diagnostics essential. This study developed a MATLAB-based software tool that uses computer vision techniques to differentiate between these diseases by analyzing features of lung nodules in CT scans, achieving higher precision than traditional methods.
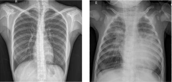
Read More...Convolutional neural network-based analysis of pediatric chest X-ray images for pneumonia detection
The authors test various machine learning models to improve the accuracy and efficiency of pneumonia diagnosis from X-ray images.
Read More...